你的位置:kaiyun体育官方网站全站入口 (中国)官网入口登录 > 新闻 >
欧洲杯体育 通过几个小切口-kaiyun体育官方网站全站入口 (中国)官网入口登录
发布日期:2026-01-18 10:27 点击次数:207

近日,广东医科大学附属东莞第一病院(东莞市东南部中心病院)胸外科,在居然主任医师的率领下欧洲杯体育,为一位56岁的男性患者告捷奉行了机器东谈主胸腔镜下纵隔肿瘤切除手术。这次手术不仅绚丽着我院在复杂胸部微创手术规模获取了里程碑式的发扬,更彰显了我院在高端时刻规模终明晰显耀的时刻冲破与提高。
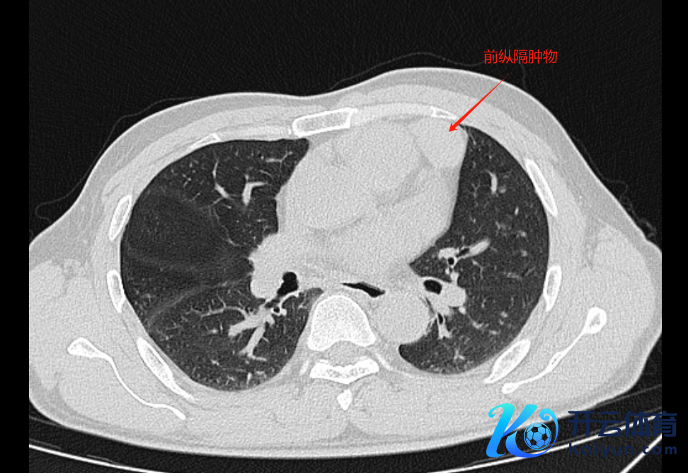
患者因左侧前纵隔发现一个大小约为33mm×29mm的肿块而住院。经由MRI检查,初步会诊为胸腺肿瘤。居然主任联结术前影像贵寓,有计划到肿瘤位于腹黑与胸壁之间相称细小的空间内,而且与心包紧密邻接,如若遴荐传统的开刀手术面貌,可能会加多风险。因此,为了确保手术的安全性及有用性,给患者制定了机器东谈主胸腔镜下纵隔肿物切除的手术有臆度打算。

通过几个小切口,机器东谈主的机械臂过问了患者的胸腔。在居然主任的精确遏抑下,仅用了半小时就安全地切除了肿瘤,术后病理检查为良性胸腺瘤。

患者归附得相称快,第二天就能吃东西并下床行为,第三天就康复出院了。这收获于机器东谈主手术带来的微创终结,减少了手术创伤,加速了归附速率。

机器东谈主扶直手术的上风
自2023年起,我院告捷引入了手术机器东谈主系统,并当场出手了全面而深远的东谈主员培训规划。在此基础上,各科室纷繁反应,连续开展了多种类型的手术实际,大大拓宽了手术的运用规模。
◾机器东谈主扶直手术系统可通过双眼三维立体高清图像放大,手术的视线最大可放大十倍视线的功能,可精确感知空间深度和光学分辩率,精确度更高,更利于细腻的显微操作。
◾机器东谈主扶直手术系统不错通过活泼的机械臂,匡助手术大夫在短促的手术操作面,管束传统手术无法完成的相称细腻的手术操作。
◾机器东谈主扶直手术系统的机械臂终端可搭载多种器械,不错是抓钳、电凝钳、不错是电钩、不错是超声刀、也不错是持针器。多样器械之间更换便捷,且和东谈主手同样解放仰俯、旋转、抓执,尤其是在短促的胸腔上风更为分解。
◾机器东谈主扶直手术系统不错通过特定的算计机算法,自动识别主刀大夫的实质作为,并过滤无谓要的的震颤,镌汰操作失实的风险,有助于更显露更精确的操作。
◾机器东谈主手术亦然微创手术,具有减小手术伤口引起的难过、镌汰术后并发症、术后归附快等优点。
END
声明:部分图文开首蚁合,如有侵权请筹商
供稿:胸外科
通信员:刘昊
剪辑:罗毓灏
责编:谢家明
复核:罗衬章
审发:李玉泉
欧洲杯体育

